Telegram-канали
Медицина
Невідкладна кардіологія ⚡️
Жінка 33 роки (АГ, дисліпідемія; батько помер в 40 років від ССЗ — питання генетичних захворювань) СЛР поза лікарнею (...
Просто гарна ілюстрація для запамʼятовування 😍 У нас у відділенні зустрічаються ШКК через: виразку ДПК, варикоз страво...
На фото зафіксовано перше аорто-коронарне шунтування 😍 Хірург: Рене Фавалоро Клініка Клівленда, травень 1967 року (ба...
Думала, що асцит А виявилася кіста яєчника
Різноманіття тріпотіння передсердь в залежності від АВ-проведення
Міокардіальний місток традиційно розглядається як доброякісний варіант, але він може призвести до значної ішемії, аритмі...
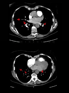
+ на рентгені: гідроторакс вправо/стан після протезування аортального клапана біологічним протезом; обмеження спілкуванн...
• Коморбідний пацієнт — генералізований атеросклероз — СН знижена фракція — артеріальна гіпертензія — цукровий діабет...
[ Різниця між синдромами ] • ANOCA: Стенокардія без обструкції коронарних артерій • INOCA: Ішемія без обструкції ко...
Жінка з цукровим діабетом, артеріальна гіпертензія, госпіталізована з декомпенсацією СН Що бачите на ЕКГ?
STEMI: багатосудинне ураження/ невдала спроба стентування — механічне ускладнення ІМ: аневризма верхівки ЛШ (на ЕКГ «зас...