2025-11-14 18:05:07
Звісно, однієї КТ не вистачило.
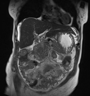
Так трапилося, що цю пацієнтку на шляху до діагнозу ще спіткали МРТ живота і таза (окремі візуалізації). Для зацікавленості пару картинок тут долучено, але погортати все МРТ детально можна тут - спочатку живота, а потім і тазу.
Цікаво, чи змінили ви ваше враження та думку щодо найбільш імовірного діагнозу після перегляду цих даних. Дайте нам знати в коментарях, якщо так сталося.
А тим часом, продовжуємо всі разом закривати хлопцям з СБС збір на ремонт авто тут
https://send.monobank.ua/jar/zumhFAVbs
Поринути в пекельну радіологію ☢️🐈⬛🍷
Так трапилося, що цю пацієнтку на шляху до діагнозу ще спіткали МРТ живота і таза (окремі візуалізації). Для зацікавленості пару картинок тут долучено, але погортати все МРТ детально можна тут - спочатку живота, а потім і тазу.
Цікаво, чи змінили ви ваше враження та думку щодо найбільш імовірного діагнозу після перегляду цих даних. Дайте нам знати в коментарях, якщо так сталося.
А тим часом, продовжуємо всі разом закривати хлопцям з СБС збір на ремонт авто тут
https://send.monobank.ua/jar/zumhFAVbs
Поринути в пекельну радіологію ☢️🐈⬛🍷