2025-09-24 16:04:55
Продовжуємо сьогодні за метастази RCC.
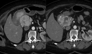
Як і обіцяли – докидаємо другу КТ яка виконана після декількох місяців терапії комбінації акситинібу та пембролізумабу. Давно та надійно відомо, що на метастатичну RCC стара добра цитостатичнка хімка працює поганенько, шоб не сказати ніяк. Але всілякі відносно новіші молекули справляються інколи дуже непогано. Особливість їх в тому, що вони не працюють прямо як молоток, а скоріше опосередковано через складні інгібіторні механізми, то «вимикаючи» пухлинкам можливість створювати васкулярзацію та позбавляючи їх харчування, то «демаскуючи» їх для власної іммуної системи і надаючи можливість їй самостійно активніше позбавлятись атипових клітин (тут прохання до онкологів та людей які шарять за молекулярку, не ображайтесь за максимальне спрощення).
Хочемо ми цього чи ні, але і на радіологічне відображення такий механізм дії має неабиякий вплив. Класична історія з зменшилося/збільшилося тут працює вкрай погано. Саме тому навигадували купу альтернатив топорному RECIST для таких сценаріїв. Користуєтесь ви будь якою системою з циферками чи нє, головне пам’ятайте, що підсилення та некрози важливіші за розміри в таких сценаріях.
Цей кейс також є непоганою іллюстрацією цього принципу. Погортати КТ після терапії яка демонструє відповідь на лікування можна ось тут.
А далі, пропонуємо вам ще один невеличкий матеріал/чекліст по оцінці відповіді для таких метсів, а також в рамках експерименту, замість декількох файликів статей, цілий огляд літератури (так, англомовний) який ми спеціально створили для вас з цього питання скориставшись підтримкою AI асистентів для роботи з науковими публікаціями ⣄⠔⠱⢈⠜ ⢘⠕ ⢐⢠⣐⠨⠚⢒⢊⠖ ⡨ ⠥⢄⠎ ⠌⢒⠇ ⡔⠖⣀ ⢠⠖ ⣁⠨⠔⢄⠡ ⡄⢈⠖ ⡑⡊⢊ ⠙⠖⢂⡃⢔⠔⢘⢁⢐ ⢊⠱⡔⢘⠍ ⠦ ⠅⡠⢈⣀⠡⡈⠦⡡⣐⡆⢤ ⡰⠩⠆⢒⢅⢰ ⡠⠆⣐⠸ ⡆⢒⢈⠓⡌⢌⠊⣈.
Поринути в пекельну радіологію ☢️🐈⬛🍷
Як і обіцяли – докидаємо другу КТ яка виконана після декількох місяців терапії комбінації акситинібу та пембролізумабу. Давно та надійно відомо, що на метастатичну RCC стара добра цитостатичнка хімка працює поганенько, шоб не сказати ніяк. Але всілякі відносно новіші молекули справляються інколи дуже непогано. Особливість їх в тому, що вони не працюють прямо як молоток, а скоріше опосередковано через складні інгібіторні механізми, то «вимикаючи» пухлинкам можливість створювати васкулярзацію та позбавляючи їх харчування, то «демаскуючи» їх для власної іммуної системи і надаючи можливість їй самостійно активніше позбавлятись атипових клітин (тут прохання до онкологів та людей які шарять за молекулярку, не ображайтесь за максимальне спрощення).
Хочемо ми цього чи ні, але і на радіологічне відображення такий механізм дії має неабиякий вплив. Класична історія з зменшилося/збільшилося тут працює вкрай погано. Саме тому навигадували купу альтернатив топорному RECIST для таких сценаріїв. Користуєтесь ви будь якою системою з циферками чи нє, головне пам’ятайте, що підсилення та некрози важливіші за розміри в таких сценаріях.
Цей кейс також є непоганою іллюстрацією цього принципу. Погортати КТ після терапії яка демонструє відповідь на лікування можна ось тут.
А далі, пропонуємо вам ще один невеличкий матеріал/чекліст по оцінці відповіді для таких метсів, а також в рамках експерименту, замість декількох файликів статей, цілий огляд літератури (так, англомовний) який ми спеціально створили для вас з цього питання скориставшись підтримкою AI асистентів для роботи з науковими публікаціями ⣄⠔⠱⢈⠜ ⢘⠕ ⢐⢠⣐⠨⠚⢒⢊⠖ ⡨ ⠥⢄⠎ ⠌⢒⠇ ⡔⠖⣀ ⢠⠖ ⣁⠨⠔⢄⠡ ⡄⢈⠖ ⡑⡊⢊ ⠙⠖⢂⡃⢔⠔⢘⢁⢐ ⢊⠱⡔⢘⠍ ⠦ ⠅⡠⢈⣀⠡⡈⠦⡡⣐⡆⢤ ⡰⠩⠆⢒⢅⢰ ⡠⠆⣐⠸ ⡆⢒⢈⠓⡌⢌⠊⣈.
Поринути в пекельну радіологію ☢️🐈⬛🍷