2025-11-19 00:08:15
Давайте добʼємо цей випадок в цей чудовий (сподіваємось) суботній день.
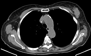
Спочатку, цікаве спостереження, за яким розподіл голосів за різні нозології в цьому випадку не сильно змінився після додавання даних МРТ. Тому, додаємо ще одне, фінальне дослідження, яке трапилося з пацієнткою відносно найпізнішим, а саме – банальна нативна КТ грудної клітки, пару зображень з якої ви бачите (за бажання погортати повністю – ось за цим посиланням). І ця КТ додає дані завдяки яким все доволі швидко стає на свої місця. Гарно помітна маса у лівій грудній залозі та інфільтрати/лімфаденопатія в іпсилатеральній аксилі. Разом це все чудово вкладається в метастатичну лобулярну карциному грудної залози, яка в кінці кінців і була верифікована при лапароскопічній біопсії перитонеальних уражень.
Лобулярна карцинома грудної залози – цікава та особлива пухлина, яка полюбляє «нетипові» для більш звичної NST протокової карциноми патерни метастазування, зокрема з перитонеальними ураженнями, окремими метастазами в орбіти, структури травного каналу, які часто мають вигляд «повзучих інфільтратів», а не окремих вузликів, вузлів чи мас.
Додаємо декілька цікавих публікацій, які розповідають про особливості візуалізації метастатичної лобулярної карциноми. Це не супер часта ситуація, але її слід тримати в голові, коли трапляється карциноматоз чи якісь інфільтративні ураження травного каналу без очевидного першоджерела «нижче діафрагми».
Поринути в пекельну радіологію ☢️🐈⬛🍷
Спочатку, цікаве спостереження, за яким розподіл голосів за різні нозології в цьому випадку не сильно змінився після додавання даних МРТ. Тому, додаємо ще одне, фінальне дослідження, яке трапилося з пацієнткою відносно найпізнішим, а саме – банальна нативна КТ грудної клітки, пару зображень з якої ви бачите (за бажання погортати повністю – ось за цим посиланням). І ця КТ додає дані завдяки яким все доволі швидко стає на свої місця. Гарно помітна маса у лівій грудній залозі та інфільтрати/лімфаденопатія в іпсилатеральній аксилі. Разом це все чудово вкладається в метастатичну лобулярну карциному грудної залози, яка в кінці кінців і була верифікована при лапароскопічній біопсії перитонеальних уражень.
Лобулярна карцинома грудної залози – цікава та особлива пухлина, яка полюбляє «нетипові» для більш звичної NST протокової карциноми патерни метастазування, зокрема з перитонеальними ураженнями, окремими метастазами в орбіти, структури травного каналу, які часто мають вигляд «повзучих інфільтратів», а не окремих вузликів, вузлів чи мас.
Додаємо декілька цікавих публікацій, які розповідають про особливості візуалізації метастатичної лобулярної карциноми. Це не супер часта ситуація, але її слід тримати в голові, коли трапляється карциноматоз чи якісь інфільтративні ураження травного каналу без очевидного першоджерела «нижче діафрагми».
Поринути в пекельну радіологію ☢️🐈⬛🍷