Telegram-канали
Медицина
 
                                                    👌 Британські лікарі здійснили революцію в діагностиці серцевих захворювань, створивши стетоскоп з ШІ, який виявляє хвор...
 
                                                    🍄🤢 Отруєння грибами Гриби – це дарунок лісу, але водночас вони є небезпечними харчовими продуктами, які можуть призве...
 
                                                    👁 💦 У США створили очні краплі, що повертають зір при віковій далекозорості Управління з санітарного нагляду за якістю...
 
                                                    👆Колобома райдужки – це дефект райдужної оболонки ока, обумовлений відсутністю її частини. Захворювання являє собою ан...
 
                                                    Українці 40+ отримають гроші на медогляд Міністр охорони здоров’я Віктор Ляшко анонсував механізм фінансування нової за...
 
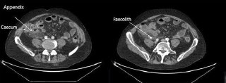
                                                    Британські хірурги видалили 70-річному чоловіку подвійний апендикс Британські хірурги розповіли про рідкісний випадок:...
 
                                                    👵🧓Чому люди з віком стають нижчими? Вчені визначили, що 30 років найчастіше є тією межею, після якої зменшується зрі...
 
                                                    🦴 Китайські вчені розробили медичний біоклей Bone-02, який дозволяє відновити перелом за кілька хвилин за допомогою одн...
 
                                                    👅Спліт язика Спліт язика (від англ. tongue splitting – розрізання язика) – це вид модифікації людського тіла, що поля...
 
                                                    Немовлятам не можна пити воду. До дев'яти місяців організм дитини все ще розвивається, і навіть невелика кількість...
 
                                                    Таємний експеримент Девіда Розенхана Покажіть мені психічно здорову людину, і я вам її вилікую. – Карл Густав Юнг У...
 
                                                    Педіофобія Педіофобія – ірраціональний страх перед ляльками. Люди, які страждають на цю фобію, бояться не тільки страшн...